Information about Corpus Callosum Disorders
Information provided on this site is for educational purposes only and not intended as a substitute for professional medical advice. These statements have not been evaluated by the Food and Drug Administration and are not intended to diagnose, treat, cure or prevent disease. Consult with your physician or healthcare professional for diagnosis of medical problems or prescribed treatments.
Information on this site reflects the current status of research and scientific information as known at the time of website development (January 2016). Information pertaining to scientific research, public policy, and professional opinion is subject to change.
The corpus callosum is the main transverse tract of fibers that connects the two cerebral hemispheres. It is made of more than 200 million nerve fibers. The primary function of the corpus callosum is to integrate motor, sensory, and cognitive activity between the left and right hemispheres. A cross-section of the corpus callosum looks somewhat like a ball-peen hammer.

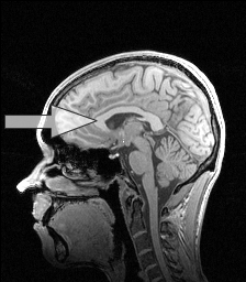
An MRI of a normal brain.
The arrow points to the corpus callosum.
The anterior portion of the corpus callosum is the genu, which curves ventrally and forms the rostrum. Continuing posteriorly the callosum becomes the body and then ends with the enlarged splenium. The corpus callosum develops during the 12 – 16th week of fetal gestation. Once formed, the callosum thickens with increasing myelination, except during a period of axonal elimination near birth. Postnatally the corpus callosum undergoes a burst of growth during the first four years of life.
By the time a child is approximately 12 years of age, the corpus callosum functions essentially as it will in adulthood, allowing rapid interhemispheric interaction. However, callosal myelination continues into an individual's teens, so interhemispheric transfer may also improve.
Although the corpus callosum is not the only path connecting the hemispheres, it is by far the largest and most important. Other interhemispheric connections include the anterior commissure which is about 50,000 fibers, as well as the posterior commissure and the hippocampal commissure, both of which are smaller even than the anterior commissure.
Agenesis literally means a (not) – genesis (developed). This is a condition in which the corpus callosum of a fetus does not develop or only partially develops. If the corpus callosum does not develop during the critical gestational stage, it will not develop later. In this case the child either has complete agenesis, meaning a complete absence of the corpus callosum, or partial agenesis meaning that part of the corpus callosum developed. Both complete and partial callosal agenesis carry the title of Agenesis of the Corpus Callosum (which abbreviated ACC or AgCC).
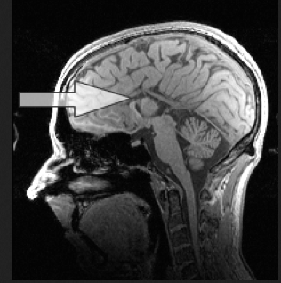
Complete Agenesis of the Corpus Callosum – The arrow points to where the corpus callosum should be.

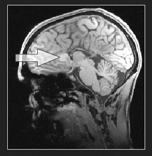
Partial AgCC – The arrow points to the part of the corpus callosum that developed.

If the corpus callosum forms but is unusually thin, it is labeled corpus callosum ‘hypogenesis' or ‘hypoplasia.'
All of these conditions (complete agenesis, partial agenesis and hypoplasia) are malformations that occur during prenatal development and fall under the larger designation of Dysgenesis of the Corpus Callosum (DCC).
Individuals with complete AgCC are likely to have Probst Bundles, which are large intra-hemispheric nerve bundles that are not seen in typical brains. Probst Bundles may also form in some cases of partial AgCC. We do not know how Probst Bundles are used.
Even when individuals have complete AgCC, they usually retain smaller interhemispheric connections such as the anterior commissure. While this may allow for some information transfer between the hemispheres, no other commissure has the same functionality as the corpus callosum.
In addition to complete and partial agenesis (AgCC), there are other common developmental abnormalities of the corpus callosum (i.e. dysgenesis). Hypoplasia refers to a thin corpus callosum. Occasionally corpus callosum dysgenesis is also be used as a general term referring to various types of malformation of the corpus callosum including partial AgCC and hypoplasia.
Complete agenesis, partial agenesis, hypoplasia, and dysgenesis all fall under the larger designation of Disorders of the Corpus Callosum (DCC). Currently, there is currently very little research comparing these conditions and most of the cognitive research to date has focused on AgCC/ACC (not hypoplasia or other forms of dysgenesis).
Corpus callosum disorders can only be diagnosed via neuro-imaging (for example MRI, CT or CAT-scan, and prenatal sonogram). MRI provides the most accurate data for diagnosis. Prenatally, the fetus may be identified with enlarged ventricles and/or with a specific callosal malformation. A prenatal diagnosis on ultrasound should be confirmed by administration of prenatal or postnatal MRI.
However, the possibility of prenatal detection is relatively new, so there are many people who were diagnosed when they received a brain-scan for some other purpose.
Disruptions to the development of the corpus callosum occur between the 5th to 16th week of pregnancy. There is no single cause and many different factors can interfere with this development, including:
- Prenatal infections or viruses (for example, rubella)
- Chromosomal (genetic) abnormalities (for example, trisomy 8 and 18, Andermann syndrome, and Aicardi syndrome)
- Toxic metabolic conditions (for example, Fetal Alcohol Syndrome)
- Blockage of the growth of the corpus callosum (for example, cysts)
In some cases, genetic causes and syndromes can be identified by a neurogeneticist or a neurologist. However, many times, the specific cause is unknown. For families concerned about heritability of this condition, genetic testing and a genetic counselor may be helpful. However, for the child with AgCC, the cause is often of less concern than the treatment.
Estimates of the frequency of AgCC (including both complete and partial agenesis of the corpus callosum, but not other corpus callosum malformations) vary greatly. A recent long-term study in the United States found that 1:4000 children received a diagnosis of AgCC by age 1. However, since many additional cases are identified at later ages, prevalence of AgCC is probably closer to 1:3000.
If the corpus callosum does not form prior to birth, it will never form. If there are some corpus callosum nerves crossing between the hemispheres at birth, these may continue to develop but new fibers/nerves won't develop. Since AgCC is congenital (occurs before birth), all the rest of the brain connections are organized accordingly. So even if scientists could develop a means for generating corpus callosum fibers later in life, the brain wouldn't know how to use them because it wasn't developed that way.
While AgCC cannot be cured, it can be treated. Behavioral and cognitive interventions from early childhood on may be help the individual with AgCC maximize his or her abilities and learn ways to compensate for deficits. Treatments may involved occupational therapy, speech therapy, social skills training, academic assistance, job coaching, as well as medical interventions for complications such as seizures. Neuropsychologists, educational psychologists, physicians, and allied health professionals should be consulted for individual evaluations and recommendations regarding treatment. Learning to live as best as one can with AgCC is the goal, just as we all must learn to live with our personal limits and challenges.
Disorders of the corpus callosum are not illnesses or diseases, but abnormalities of brain structure. Many people with these conditions are healthy. However, some individuals with disorders of the corpus callosum do require medical intervention for seizures and/or other medical problems they have in addition to the callosal disorder.
DCC may occur as an isolated condition or in combination with other cerebral or genetic abnormalities. Cerebral (brain) abnormalities that are often seen with corpus callosum disorders include Arnold-Chiari malformation and Dandy-Walker syndrome, Andermann syndrome (with progressive neuropathy), schizencephaly (clefts or deep divisions in brain tissue), holoprosencephaly (failure of the forebrain to divide into lobes), hydrocephaly, and migrational anomalies. AgCC is also associated with several chromosomal anomalies, including trisomy 13 and 18. When the corpus callosum disorder is part of a broader genetic syndrome, specific medical complications may appear. For example, girls may have a gender-specific condition called Aicardi's syndrome, which causes severe mental retardation, seizures, abnormalities in the vertebra of the spine, and lesions on the retina of the eye. Finally, DCC can also be associated with malformations in other parts of the body, such as midline facial defects, visual system malformations, and heart defects.
In addition to the medical conditions described above, children with DCC may exhibit a broad range of developmental delays (i.e. delays in reaching typical developmental milestones). The pattern of delays will also be impacted by other neurological conditions, as well as environment, so there is not a "typical behavior pattern" that fits all people with DCC. However, there are common areas of concern, particularly among individuals for whom AgCC is the primary neurological condition.
In infancy, these may include feeding problems, as well as delays in holding the head erect, sitting, standing, and walking. There may be impairments in hand-eye coordination, speech, and visual and auditory memory. In mild cases, symptoms such as repetitive speech, social awkwardness, rigid thinking, poor problem solving, and odd communication patterns may appear in elementary school years.
The impact of AgCC may become more evident as a child reaches puberty. In a typical brain, corpus callosum functioning becomes much more efficient around ages 10-12, as the callosum mylenates. As the corpus callosum becomes increasingly functional in their typically developing peers, children with AgCC often appear to fall behind. Particular areas of difficulty are social understanding, social communication, comprehension of non-literal language (for example vocal inflection and proverbs), problem solving, executive skills (for example organization, flexibility in response to change, and planning), emotion recognition in others, self-awareness and personal insight. People with AgCC may appear somewhat rigid in their interests and socially simple. In this sense, AgCC symptoms may "get worse" with age … however, often these individuals learn coping skills well into adulthood, so they may also "get somewhat better" with age eventually.
The nature of cognitive and social symptoms in AgCC, as well as the neuro-mechanics involved, is the primary focus of the Caltech Corpus Callosum Program . For more information see the Research section.
Agenesis and dysgenesis of the corpus callosum are neuropathological diagnoses – they are an anatomical fact. These other conditions are behavioral diagnoses – for which the anatomic causes are unclear. Often AgCC results in social communication symptoms similar to those seen in autism/Asperger's Disorder, attentional difficulties & inconsistent school performance similar to attention-deficit hyperactivity disorder (ADHD), and fixed interests and rituals similar to obsessive compulsive disorder (OCD).
Part of the dilemma of our clinical diagnostic system is that by focusing on symptom clusters, we may actually be grouping people together who have similar symptoms for different reasons. This is not ideal, however it is the best system there is right now. Thus, a child with AgCC (an anatomic diagnosis) may also qualify for one of these behavioral diagnoses. Meanwhile, researchers will continue to examine how those behaviors may be linked to the AgCC.
The impact of DCC / AgCC varies greatly. While a the minority of people with AgCC are able to live independently as adults, a large number of AgCC patients have development and/or learning disorders which require assistance well into adulthood. Research indicates that even those individuals with AgCC who function very well have subtle difficulties in social and executive skills that may impact their daily lives.
Since the symptoms vary from person to person, the best way to find out how AgCC will affect your child would be to talk with your physician and allied health professionals to discuss the symptoms your child is experiencing and the behaviors he/she is exhibiting.
Family support networks can also provide opportunities to compare experiences and figure out what may lay ahead for your child. For more information about support networks, visit our list of DCC Resources.
Family connections and support groups are an important resource. Please see our DCC Resources section for support groups and family organizations.
Research studies are a great way to help advance understanding of AgCC. The degree to which an individual may personally benefit from participation will vary, depending on the nature of the study and the attitude of the individual. Often people with AgCC enjoy the personal attention during testing and feel pride at participating in something so meaningful.
Prior to participation, the procedures and risks will be discussed so that you can make an informed choice about participating. Read the criteria for participation carefully and then contact the researchers about your interest. For more information please see the Participation section.