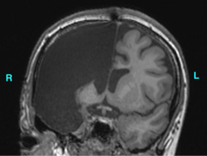
Perhaps there is no more remarkable example of brain plasticity and human adaptation than hemispherectomy. Hemispherectomy, surgical removal (or disconnection) of an entire cortical hemisphere, is conducted to treat severe epilepsy. It is a radical procedure, that is typically deemed ‘successful' if seizures cease. However, very little is known about how the neural system adapts to this change, nor about the long-term impact of this procedure on cognitive and social functioning.
In collaboration with Warren Brown at Travis Research Institute, Fuller Graduate School of Psychology, we are conducting an in-depth examination of cognitive, behavioral and neural functioning in adults who had hemispherectomy during childhood.
Enroll in our Online Study:
If you are 18 or older and have had a hemispherectomy, you may be able to participate in our online study. This study involves completing several questionnaires about your current behaviors and your medical history. You will also be asked to provide contact information for someone who can describe your current behaviors and/or history. If you are interested in enrolling, please contact Dr. Lynn Paul for more information.
This work has been supported by the Brain Recovery Project.