skip to main content
Home  /  Research  /  Lesion Studies

Studies of Brain Lesions

Amygdala

Above: The amygdala is outlined in orange on this photograph of a coronal section of a post-mortem human brain.

Lesions of the Amygdala

In collaboration with Daniel Tranel at the University of Iowa, Justin Feinstein at the Laureate Institute in Oklahoma, and Rene Hurlemann at the University of Bonn, we have been studied very rare patients who have selective bilateral amygdala lesions due to Urbach-Wiethe Disease.  This is a genetic disease giving rise to developmental amygdala lesions in some patients.  One of the largest groups of these patients is currently being studied by Jack van Honk in South Africa.

Our work here has shown that the amygdala is involved in the experience of fear, and in the recognition of fear from facial expressions.

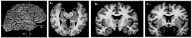
MRI scans of brain

Left: MRI scans of the brain of patient S.M., showing the amygdala lesions. The section numbers (A,B,C) correspond to the planes indicated on the whole brain image shown in the upper left. The lesion can be appreciated in section C. by comparison to the intact orange amygdala on the left, and can also be seen as two symmetrical "holes" in section A.

Amygdala lesions impair the use of information from the eye region of faces.

In our 2005 Nature paper, we showed that patient S.M.'s impaired fear recognition could be traced to an inability to make use of visual information from the eyes in faces. To show this, we used a method called "bubbles" invented by Frederic Gosselin and Philippe Schyns.

The images shown here depict the visual information that viewers make use of in order to classify fear in faces.

Another goal in our lab is to make comparisons across clinical populations, and across techniques.

Shown here are eyetracking data to faces comparing amygdala lesions to autism: the hotter colors indicate that people fixate these regions the most.

Impaired fear reaction

Left: information used by healthy control subjects.  Middle: information used by patient S.M.  Right: the difference (information used by controls, but not by S.M.)

Eye tracking graphic

Left: Healthy controls.  Middle:  patient S.M.  Right: people with high-functioning autism.


Lesions of the Ventromedial Prefrontal Cortex

Classic work by the group at the University of Iowa (Antonio Damasio, Hanna Damasio, Daniel Tranel) and others had shown that lesions of the ventromedial prefrontal cortex gave rise to severe deficits in social behavior and decision-making.

Our work extended these studies to the realm of moral judgment, and to neuroeconomic quantifications of the decision-making impairment. These studies continue to provide a powerful complement to fMRI studies of the prefrontal cortex, and are still ongoing in collaboration with Daniel Tranel and John O'Doherty.


Large-Scale Lesion-Symptom Mapping

Finally, in addition to focusing on the specific neuroanatomical regions implicated in emotion and social cognition (amygdala, and ventromedial prefrontal cortex), we have taken a more whole-brain approach and studied larger samples of patients with lesions distributed all over the brain.  Our earlier work did this in a rather crude way, generating overlap images of lesions.  Later, we used nonparametric voxel-based lesion-symptom mapping, which generates voxelwise statistics.

These studies have revealed more distributed neural systems that contribute to cognitive processes like emotion recognition, decision-making, and intelligence.  This work is ongoing, with collaborators Daniel Tranel at the University of Iowa, and Jan Glaescher at the University of Hamburg.

lesion overlaps

Above: Lesion overlaps in patients from the Iowa patient registry.  In these images the color encodes the density of lesion overlaps in 250 patients.  Note that most of the brain is sampled, but not homogeneously, resulting in a complex anatomical distribution of statistical power to detect potential deficits.